Product Description
Product Description Wayne293® Expression Medium is a protein-free medium specifically developed for the supporting the growth and transfection. It is compatible and applicable to cell lines HEK293, HEK293T, HEK293A, and HEK293FT under suspension culture conditions. Wayne293™ Expression Medium is a complete, ready-to-use and animal-origin free medium.
Product Procedure

Product Component
| L-glutamine | 4mM |
| Glucose | 6.0 g/L |
| Hypoxanthine & Thymidine | No |
| Phenol red | No |
| Sodium bicarbonate | Yes |
| Hydrolysate | Non-animal origin Pepton |
High-density value-added:


The growth of different HEK293 cells in Wayne293™. Batch, 125mL shake flask, working volume 30mL, ф25mm, 125rpm, humidity 75%, 5% CO2, 37°C for 7 days.


Continuous passage growth and transient expression of HEK293 F cells in Wayne293™.
125mL shake flask, working volume 30mL, ф25mm, 125rpm, humidity 75%, 5%CO237℃ culture; passage the next day, 20 passages in total, cryopreserved every 5 generations;
unified recovery after passage, and transfection according to the standard method of instruction An IgG plasmid to detect the amount of transient expression.
High-yield expression:



Growth and expression of HEK293 F cells after transfection in Wayne293™ and other commercial media.
Control: Medium F is supplier G's HEK293 transient medium; 125mL shake flask, working volume 30mL,ф25mm, 125rpm, humidity 75%, 5% CO2, 37℃ culture;
according to the standard method of the instruction transfect three expressions respectively Different IgG plasmids were cultured for 7 days.

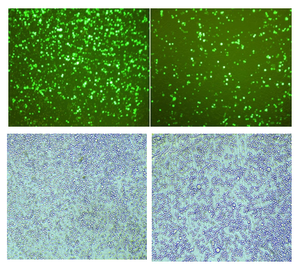
24 hours after transfection of HEK293F cells in Wayne293 TM and other commercial media
Certificate of Analysis (COA)
Certificates of Analysis (COA's) describe quality control data for specific products.
Please enter Lot No.& Cat No. (e.g.Axxxxx) and click Query.
If your search does not return any results, pleasecontact us for assistance.
Protocol & Documents